How Brain MRI Can Aid in Early Detection of Tumors
An MRI is a medical imaging technique, and it uses a strong magnetic field and radio waves to create detailed images of organs and tissues inside your body. When used for the brain, an MRI provides a non-invasive way for doctors to see its complex structures without surgery. This technology is a valuable tool for examining the brain, offering clear and precise pictures that help in identifying abnormalities. Here is more information on how a brain MRI can help detect tumors early:
Locating Tumors
A brain MRI provides precise information about a tumor’s location. Specialists analyze the images to pinpoint the exact area of concern within the brain’s intricate geography. Knowing the specific location is a primary step, and the MRI scan provides this data with high accuracy. The scan creates a detailed map, which helps guide the next steps in your medical care.
These detailed images help doctors understand the tumor’s relationship to surrounding brain structures, and this information is helpful for planning. To do this, the scan shows if the mass is near areas that control speech, movement, or other functions. Medical teams use these details to develop a careful approach for you.
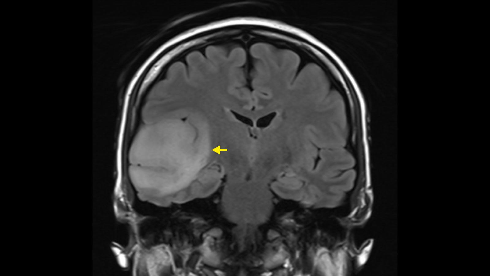
Showing Size
Measuring a tumor is a direct function of a brain MRI, and the images allow for precise calculations of the mass’s dimensions. Doctors measure the length, width, and height of the tumor from the scan. With this information, they can understand the scope of the abnormality.
The size of the tumor typically influences the medical approach your team will take. A smaller mass might require a different strategy than a larger one, so accurate measurements are useful. These measurements provide a baseline that doctors can refer back to over time, and they can track any changes by comparing results from later scans.
An MRI offers a three-dimensional view of the brain. This perspective gives a complete picture of the tumor’s position from multiple angles, which is something other imaging tests may not provide. Doctors can see the front, side, and top-down views of the brain tissue, and this comprehensive view helps them understand the full context of the tumor’s placement.
Revealing Spread
An MRI scan is also useful for assessing the extent of a tumor; the images show whether the mass has clear or irregular borders. A tumor with well-defined edges may be easier to distinguish from healthy tissue, whereas one with indistinct borders suggests infiltration into nearby areas. Doctors examine these boundaries to understand the tumor’s behavior.
Doctors look for specific signs within the MRI images to understand a tumor’s characteristics. These signs include:
- Changes in tissue contrast.
- Areas of swelling around the mass.
- Effects on nearby blood vessels.
Accelerating Diagnosis
MRI scans help speed up the diagnostic process, and the detailed images give doctors a lot of information quickly. This allows them to form a clearer picture of what is happening inside the brain. While other tests may be needed, the MRI provides a strong foundation for a prompt evaluation. Your doctor receives the results and can then decide on the next steps in a timely manner.
Schedule a Brain MRI
A brain MRI is an advanced imaging test that provides detailed views of the brain. It produces clear pictures that help doctors identify, locate, and assess abnormalities. If your doctor has recommended this scan, it is a proactive step toward understanding your health. Arrange your appointment, and visit a diagnostics center near you.
